来源: 日期:2025-11-20浏览:次
在人体的血液循环系统中,主动脉作为最粗大的“生命主干道”犹如一条奔腾不息的“大河”,负责将心脏泵出的血液输送至全身。然而,有一种极其凶险的疾病——主动脉夹层,却如同隐藏在平静河面上的暗礁,随时可能给这条生命通道带来毁灭性的打击。因此主动脉被称为人体内的不定时炸弹。
一、认识主动脉夹层
正常情况下,主动脉壁由内膜、中膜和外膜三层结构紧密相连,共同维持着血管的强度和弹性,保证血液顺畅流动。但当某些因素破坏了这种结构的稳定性时,血流钻入管壁中层,强行将管壁撕裂、剥离,形成一个新的“假腔”。这根为全身供血的“主干道”随时可能破裂,导致患者瞬间死亡。
二、主动脉夹层为何如此凶险?
极高的死亡率:
在发病48小时内,每小时死亡率增加约1%。若得不到及时治疗,24小时内,一半患者会死亡;48小时后,75%的人将失去生命。
并发症累及全身:
主动脉夹层可能会累及从主动脉分出的各级血管分支,造成重要脏器的缺血,可能导致脑卒中(中风)、心肌梗死、肾脏衰竭、肠道坏死、下肢瘫痪等一系列并发症。
极易被误诊:
该病症状可能与心肌梗死、肺动脉栓塞、气胸、急腹症等相似,造成误诊,从而延误最佳治疗时机。
三、病例警示
病例一:


71岁男性,突发剧烈胸痛,既往有长期高血压、糖尿病病史。
病例二:


48岁男性,突发上腹剧烈疼痛伴有大汗淋漓,既往多年高血压病史。
病例三:


46岁女性患者,因突发胸背部撕裂样疼痛,既往多年高血压病史。
以上病例均来自河池市人民医院收治主动脉夹层患者,综上病例可见:主动脉夹层患者病历共同特点:突发剧痛+高血压基础!
四、主动脉夹层症状有哪些?
剧烈疼痛:
突发的难以忍受的剧痛,胸前区、后背肩胛间区最为典型。疼痛会随着夹层的扩展而“移动”,例如从胸前撕裂到后背,再到腰部。并可能随着血压的变化而加剧。
血压变化:
大多数患者的血压会升高,部分可能出现低血压,(这与夹层破裂出血、心脏压塞等有关)当夹层累及锁骨下动脉时,双上肢血压可能不一致。
伴随症状:
夹层累及颈动脉、无名动脉可能导致动脉缺血,患者可能出现头晕、晕厥、脑血管意外、缺血性周围神经病、肢体麻木等症状。
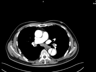
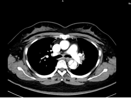
五、主动脉夹层诊断
时间就是生命。医生会结合症状,快速进行以下检查:医院会根据CT血管成像(CTA)进行诊断。如确诊为主动脉夹层,则会进行紧急处理,立即镇痛、控制血压和心率(如静脉注射β受体阻滞剂)。
六、主动脉夹层治疗
A型夹层:开放手术
手术是“巨创手术”,需要在深低温停循环下,用人工血管替换掉被撕裂的主动脉段,就像换掉一段坏掉的水管。手术风险高,但这是唯一能救命的方法。
B型夹层:药物与介入治疗
内科药物治疗:基础。使用强力降压药、β受体阻滞剂等,降低血压和心肌收缩力,减轻血流对主动脉壁的冲击,稳定夹层。
主动脉腔内修复术:微创治疗。通过大腿根部的股动脉,将一个覆膜支架送入主动脉夹层部位,像打补丁一样覆盖住内膜破口,使血流不再进入假腔,促进假腔血栓化愈合。
七、高危人群预防与术后管理
主动脉夹层虽然凶险,但可防可控。对高危人群需要知晓并控制血压:这是重中之重!高血压患者应坚持每日服药,定期监测,将血压控制在目标范围内(通常<140/90 mmHg,具体遵医嘱),切勿自行停药。
保持健康生活方式:
低盐饮食、戒烟限酒、控制体重、避免情绪激动和突然发力。
定期体检:
尤其是有高血压、家族史或疑似马凡综合征体征者,应定期进行心脏超声检查,筛查主动脉问题。
对于术后及康复患者:
无论是术后还是药物治疗的患者,都需要终身服用降压药和降低心率的药物(如β受体阻滞剂),以降低主动脉壁的张力。必须遵医嘱定期(如术后3、6、12个月,之后每年)进行CTA或超声检查,监测主动脉全程情况,及时发现新问题。避免“高压”行为:禁止剧烈运动和重体力劳动,保持大便通畅,预防感冒引起的剧烈咳嗽。
小结
主动脉夹层是极度凶险的血管急症,关键在于识别“突发、剧烈、撕裂样”胸背痛。高血压是首要可控风险,应平稳控制。一旦怀疑,须立即呼叫急救,并尽快前往医院救治。幸存者需终身随访,将主动脉作为慢性病规范管理。