来源: 日期:2024-02-03浏览:次
近日,河池市人民医院呼吸与危重症医学科一病区联合手麻科等相关科室,再次为一名患有罕见病“肺泡蛋白沉积症”的患者成功实施了全麻下大容量全肺灌洗术,历时3个多小时,共灌入生理盐水20000ml,回收乳白色“牛奶”样沉淀液体19800ml,目前患者已好转出院。
2个月前,40岁的岑先生因上呼吸道感染行胸部CT检查提示:两肺感染,考虑结核,部分纤维硬结。为此,岑先生辗转多家医院,但一直没有找到病因,为进一步诊治来到河池市人民医院就诊,因“检查发现肺部阴影”收治入院。呼吸与危重症医学科医护团队第一时间为患者行硬质支气管镜联合EBUS-GS(结合引导鞘活检的超声支气管镜)定位下在右上叶前段、后段冷冻肺活检术,术程顺利。
术后做病理检查发现患者肺泡腔扩张,腔内充满红染均质物质,PAS染色结果为阴性,并且灌洗液有少许沉淀物,在镜下呈现为红染均质物质,由此诊断为“肺泡蛋白沉积症”。
根据临床诊疗指南,呼吸与危重症医学科主任韦庆和副主任兰祖仔细分析其病史和胸部CT,立即为岑先生完善相关检查,并邀请相关科室会诊,决定为患者进行“全肺灌洗术”。术中,用37℃的生理盐水通过管子源源不断地注入,持续灌洗,在肺中涤荡一圈后,患者肺泡内沉积的蛋白和脂质物质随着灌入的盐水顺着管子流出。

手术操作现场

全肺灌洗后,灌洗液逐渐清澈
在手术团队的共同努力下,历经3个多小时,术中共灌入生理盐水20000ml,回收“牛奶”样液体19800ml,灌洗液从浑浊逐渐清亮透明,手术顺利完成。术后,患者返回病房进行后续的相关治疗,在医护人员共同努力下,患者好转出院。

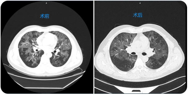
治疗前后对比
“肺泡蛋白沉积症(PAP)”之所以罕见,是因为发病率仅0.36-3.7/10万,国际上报道不足千例,其症状与肺炎等常见肺部疾病相似,极易误诊,如不积极治疗,患者最终会因大量的肺泡沉积物导致肺通气及换气功能受损,出现严重呼吸衰竭。虽然肺泡蛋白沉积症的症状不典型,但咳嗽咳痰、胸闷气急是大部分呼吸疾病的共有症状,如存在上述症状长时间不愈要重视,及时到医院就诊。

患者及家属给呼吸与危重症医学科一病区赠送锦旗
科普知识
什么是肺泡蛋白沉积症(PAP)?
又称Rosen-Castle-man-Liebow综合征。以肺泡和细支气管腔内充满PAS染色阳性,来自肺的富磷脂蛋白质物质为其特征。好发于青中年,男性发病率约3倍于女性。病因未明,可能与免疫功能障碍(如胸腺萎缩、免疫缺损、淋巴细胞减少等)有关。粉尘尤以接触矽尘的动物可引起PAP,故认为可能是对某些刺激物的非特异反应,导致肺泡巨噬细胞分解,产生PAS阳性蛋白质。
什么是硬质支气管镜?
硬质支气管镜(硬镜)是现代医学设备的一种。随着医学的发展,硬镜也在不断发展完善。然而近三十年来,随着软体纤维光学支气管镜(纤支镜)在临床的推广,硬镜的应用已明显减少。与硬镜相比,纤支镜在操作过程中需占据一定的气道空间,对健康成年人而言一般不会引起通气功能障碍,但对于儿童或气道狭窄者则可能影响其通气功能,甚至威胁生命安全。硬镜能保持气道通畅,并且在操作端有侧孔与呼吸机相连,故硬镜亦称“通气支气管镜”。
什么是支气管全肺灌洗术?
支气管肺泡灌洗术是在纤维支气管镜检查基础上发展起来的一项新技术。是利用支气管镜向支气管肺泡内注入生理盐水并随即吸出,收集肺泡表面有效液体,检查其细胞成分和可溶性物质的一种方法。有全麻下经卡伦双腔管行一侧全肺灌洗、经纤维支气管镜灌洗两种方法。临床用于诊断多种肺部疾病,如肺泡炎、肺纤维化、石棉肺、肺癌、肺囊虫病、肺泡蛋白沉积症等的临床诊断、鉴别诊断以及研究肺部疾病的病因、发病机制、评价疗效和预后等。