来源: 日期:2025-02-21浏览:次
近日,广西医科大学第一附属医院河池医院·河池市人民医院肿瘤科一病区与儿内科紧密合作,共同为一位肿瘤患儿点亮了希望之光,让原本只能卧床的孩子重新获得自由行走的能力。
患儿小勇(化名)发现脑占位性病变一年多,因肿瘤压迫导致脑室明显扩大,曾在上级医院进行了脑室-腹腔引流术后出院。但因颅内肿瘤巨大且复杂,手术风险极高,无法进行肿瘤切除,近一年来肿瘤逐渐增大,因意识障碍入住河池市人民医院儿内科。入院时,患儿病情复杂且危重,不仅受到肿瘤的侵袭,还伴有重症肺炎和呼吸衰竭。
接诊后,儿内科医护人员采取呼吸机辅助呼吸、抗感染治疗等一系列措施迅速展开紧急救治。在医护人员的精心照料下,患儿的肺炎症状逐渐得到控制,呼吸衰竭状况也有所改善,生命体征趋于平稳,为后续的肿瘤治疗创造了有利条件。
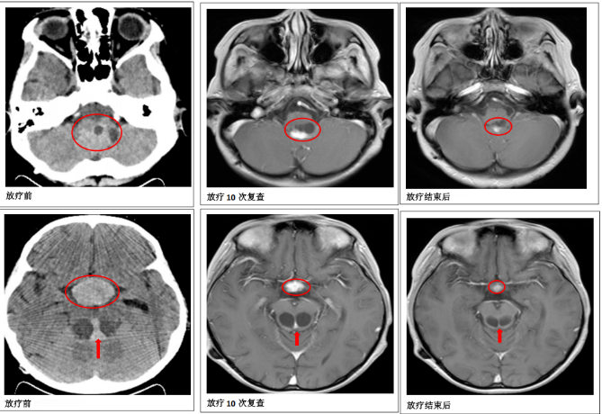
患儿的病情稍有好转,儿内科、肿瘤科一病区、放射科、神经外科等相关科室便针对其病情进行了全院肿瘤多学科会诊。结合患儿的病史及检查结果,肿瘤多学科会诊专家讨论后考虑颅内生殖细胞瘤可能性大,经过全面评估,专家们决定为患儿实施诊断性姑息性放疗。脑部放疗需要特别小心,因为一不留神,可能会伤到正常的脑组织,所以要非常仔细地确定肿瘤的位置和范围。对此,肿瘤科一病区放疗团队对患儿的病情和检查结果进行了全面的评估,为其量身定制了放射治疗方案。首先,由放疗技师给患儿进行定位,用CT扫描把图像输入到计划系统里。然后放疗医师根据患儿之前的核磁共振(MRI)结果,在系统里逐层地勾画出肿瘤的位置,就像在脑袋里给肿瘤画个“框子”,确定需要照射的范围和剂量,同时还要注意保护周围的正常组织。接着,放疗物理师根据这些信息制定放疗计划,放疗医生再进行检查和调整,确定无误后开始放疗。
放疗10次后,医生再次给患儿做了颅脑核磁共振检查,和之前的检查结果对比发现,颅内的肿瘤明显缩小了,说明治疗效果很好,对放疗敏感,临床可以诊断为颅内生殖细胞肿瘤,可按颅内生殖细胞肿瘤的放疗计划继续放疗。为了减少放疗可能带来的副作用,肿瘤科一病区放疗医师根据新的检查结果重新调整了放疗方案,这样既能有效控制肿瘤,又能减少对患儿的伤害。


放疗过程中,肿瘤科一病区医护人员凭借精湛的技术和丰富的经验,精准调控放疗剂量与时间,力求在消灭肿瘤细胞的同时,最大程度地保护患儿的正常组织。儿内科医护人员全程密切配合,时刻关注患儿的身体反应和生命体征,确保治疗的安全与顺利。

令人欣喜的是,放疗后患儿的恢复情况超出了大家的预期。他不仅能够自主进食,还能与父母进行交流,最终在医护人员的鼓励和支持下,成功从卧床状态转为自行走路。这一转变不仅是身体上的康复,更是精神上的重生,为患儿和他的家庭带来了新的希望。

此次精准治疗是肿瘤多学科诊疗模式的又一成功典范,专家们充分发挥各自专业优势,共同推动了儿童肿瘤精准诊疗的发展。这一成果不仅展现了医疗团队的专业能力,也为患儿家庭带来了希望与慰藉。河池市人民医院将继续通过跨学科的紧密合作与持续的技术创新,为肿瘤患儿撑起生命的“蓝天”,助力他们重获健康,拥抱快乐童年。
科普小知识
什么是颅内生殖细胞肿瘤?颅内生殖细胞肿瘤是儿童及青少年中枢神经系统常见的恶性肿瘤,占儿童原发性神经系统肿瘤的8.1%(中国)~15.3%(日本),好发于3至15岁,常发生于松果体区、鞍上区或丘脑基体节区,少数可发生在三脑室、脑干、胼胝体等中线部位。
颅内生殖细胞肿瘤的治疗方法有哪些?目前国际上治疗方法均采用放疗、化疗和手术等整合治疗手段。采用整合治疗,纯生殖细胞瘤生存率大于90%,放疗是颅内生殖细胞肿瘤整合治疗的重要组成部分。
什么是放射治疗(放疗)?放射治疗即放疗,是使用电离辐射破坏细胞DNA,使细胞失去活性,达到杀死肿瘤细胞的目的,是一种局部治疗的方式。大约50%~70%的肿瘤患者在治疗的不同阶段需要进行放疗。
放疗有哪几种类型?应如何选择?根据治疗的目的性,可以分为根治性、辅助性、姑息性放疗。
1.根治性放疗:以控制局部肿瘤、根治肿瘤为目的的放射性治疗,适用于:(1)手术切除影响重要器官的功能或无法彻底手术切除的情况;(2)肿瘤对放射线非常敏感,放疗能有效控制或杀灭肿瘤的情况;(3)早期肿瘤患者不能耐受手术的情况;(4)晚期肿瘤侵犯范围比较大,不适宜进行手术的情况。
2.辅助性放疗:与手术及化疗相结合,达到提高肿瘤治愈率的目的,根据与手术的时间关系可以分为:术前放疗:通过术前对肿瘤的局部放疗,可以使肿瘤缩小,提高手术切除成功率,降低肿瘤复发的可能。术中放疗:在手术中将肿瘤暴露后或将肿瘤切除后,对肿瘤、肿瘤附近组织、区域内淋巴结采用单次大剂量的放射线照射,可以有效控制肿瘤,降低放疗副作用。术后放疗:如果手术后发现患者有复发的高危因素,需要进行术后放射治疗,对残存肿瘤、瘤周组织进行照射,以降低肿瘤复发概率,提高患者生存时间。
3.姑息性治疗:以解除晚期肿瘤患者痛苦、改善症状、延长生命为目的进行放射性治疗,治疗后可以缓解肿瘤压迫、促进癌性溃疡的愈合、控制病灶的转移。