来源:河池市人民医院 日期:2018-08-15浏览:次
8月3日凌晨02:13,一辆金城江区人民医院(河池市第三人民医院)的救护车准确地停在了河池市人民医院急诊科前的胸痛专用停车位上。
已经等候在急诊科的医护人员迅速对接,将一名老年胸痛患者紧急送往河池市人民医院介入导管室进行PCI手术......
数月前,72岁的韦婆婆开始就出现胸部紧缩感,每次持续几分钟后,又自行缓解。当时,韦婆婆和家人都没有太在意。
8月2日22:00,韦婆婆再次出现胸部紧缩感,同时还伴有胸部疼痛、大汗淋漓和濒死感,随后韦婆婆又出现呕吐。
突如其来的症状让一旁的家人不知所措,症状持续了大约1小时左右,疼痛难忍韦婆婆被家人紧急送到金城江区人民医院(河池市第三人民医院)就诊,经医生检查后,韦婆婆被诊断为“急性高侧壁心肌梗死”。
医生立即给韦婆婆口服阿司匹林肠溶片300mg和替格瑞洛片180mg,并进行尿激酶溶栓治疗,以尽快地改善心肌供血危像。但要根本解决血管狭窄问题,必须尽快行PCI手术(经皮冠状动脉支架植入术)。
时间就是生命,医生将韦婆婆的心电图信息传至河池胸痛中心微信平台,并联系有条件行急诊PCI术的河池市人民医院胸痛中心。胸痛中心的值班医生接到电话并在微信平台上了解韦婆婆的情况后,立即为韦婆婆打开胸痛中心绿色通道,启动急诊PCI术应急预案,一切准备就绪。
救护车鸣笛声在凌晨响起,响彻大半个河池,让这个深夜显得格外紧张。两点十三分,金城江区人民医院(河池市第三人民医院)的救护车将韦婆婆到达河池市人民医院急诊科,早已等候在急诊科的医护人员立即护送韦婆婆绕行急诊科,直达介入导管室。
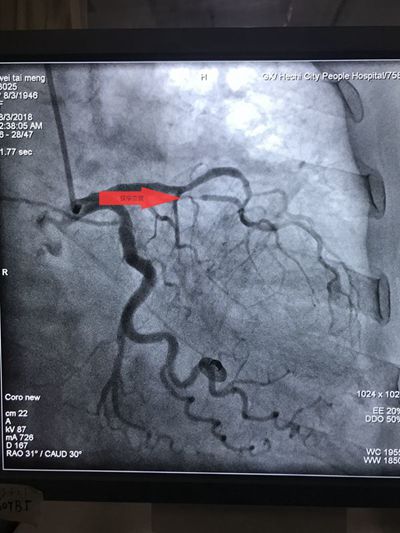
从穿刺、造影、球囊扩张......整个手术医护人员默契配合,两枚救命的支架顺利植入韦婆婆体内,整个过程用时51分钟。术后韦婆婆的胸痛症状立即得到缓解。


目前,韦婆婆已经从CCU(冠心病重症监护室)转至心血管内科普通病房继续治疗,精神状态也已经逐渐恢复。
据悉,河池市人民医院是河池首个、广西第15个通过中国胸痛中心认证委员会认证的国家级胸痛中心(标准版),也是全市唯一一家具备急诊介入手术资质和能力的医院,承担着河池市和贵州周边心血管病急危重症的抢救任务。
自胸痛中心成立以来,胸痛中心医护人员检查24小时值守,为全市人民驾起了一条全天候畅通的救心高速路,已经成功救治的两百多例急性心肌梗死患者,抢救成功率达95%以上。