来源:河池市人民医院 日期:2021-08-11浏览:次
近期,我院新生儿科联合胸外科、手麻科及影像科等多个学科协同合作成功救治一名先天性膈疝新生儿。
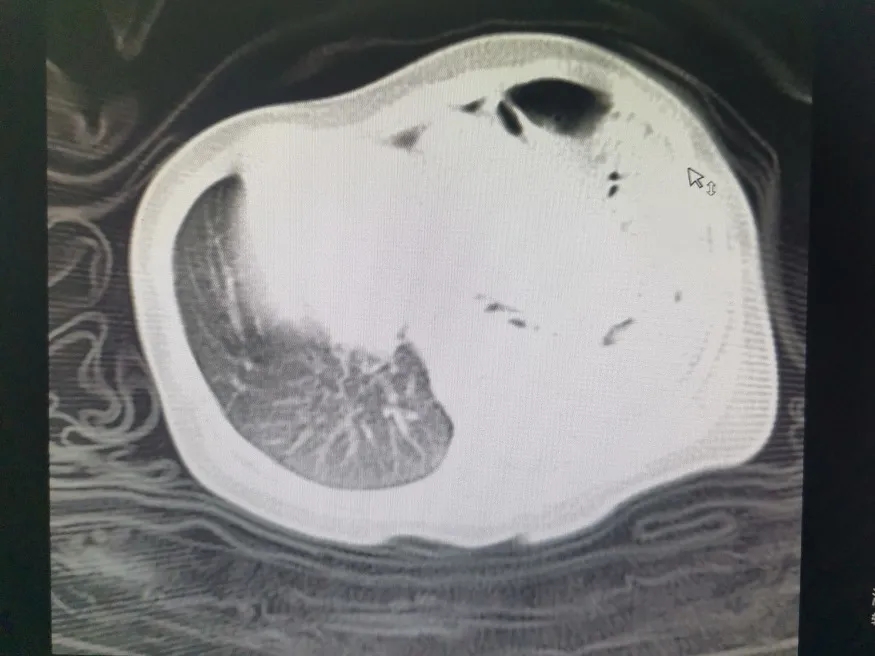
术前CT


据悉,韦某家的宝宝在当地县级医院出生不足24小时,便因呼吸困难转至我院新生儿科进行救治。宝宝出生后呼吸急促,呼吸频率近100次/分,行胸片检查提示先天性膈疝。收治患儿后,新生儿科迅速组织胸外科、手麻科及影像科等多个学科进行紧急会诊。经过多学科会诊讨论后,决定由新生儿科主任韦彦成携胸外科团队、手麻科团队连夜为患儿行经胸膈疝修补术+开胸探查术。术中发现患儿膈肌部有一个2cm×2cm的缺口,小肠、结肠“越位”到左侧胸腔,左肺被明显挤压,情况非常危险。医生立即将疝内容物还纳入腹腔,缝合缺损的膈肌,放置引流管,手术修补成功!
术后CT


由于术后可能出现肺发育不良、气胸、胸腔积液、感染、腹胀等重症,随时都有可能危及患儿生命而致功亏一篑。手术成功不是终点,先天性膈疝术后的管理环节亦非常重要。术后患儿转回新生儿重症监护室,继续给予心电监护及呼吸机支持治疗,胸外科团队术后积极协助指导手术切口护理、引流管的引流排气护理等。在医护团队的悉心照料下,患儿病情平稳,逐步停氧,胸片复查显示膈疝已消失。经过25天的住院治疗,宝宝终于康复出院。
科普小知识
何为膈疝?
人体的胸腔和腹腔是两个体腔,中间有一道像墙一样的肌肉组织叫膈肌,作用是将胸腔和腹腔分开。简单地说,就是原本应该在腹腔里的胃、肠、肝、脾“跑”到了胸腔里,将胸腔内的心与肺压迫得偏离了原本的位置,膈疝可对胎儿心肺功能发育可造成不同程度的影响,是新生儿急危重症之一。
先天性膈疝是指膈肌先天性发育缺损导致腹腔脏器疝入胸腔的一种较常见的先天性疾病,其发病率约为1/5 000~1/2 000。患儿往往合并肺发育不良、肺动脉高压以及心功能不全,患儿出生后即出现严重的呼吸窘迫、顽固性低血压,进而导致呼吸、循环功能衰竭,病死率高达60%以上。手术治疗是唯一根治该病的治疗手段。