来源:河池市人民医院 日期:2021-12-21浏览:次
近日,国家卫健委能力建设和继续教育中心发布了《关于开展首批神经介入建设中心遴选工作的通知》,在全国范围内组织开展了首批“神经介入建设中心”遴选工作,全国共有493家医疗单位和机构申报。经专家评审委员会严格审查、评审等程序,河池市人民医院成功入选首批“神经介入建设中心”。


据了解,此次遴选标准包括基本情况、硬件设施设备、人员技术水平、医疗教学等。遴选旨在以神经介入进修与培训基地为基础,充分发挥神经介入进修与培训基地的带教、示范作用,结合建设中心实际情况进行线上线下带教指导,包括手术、查房、院内外科会诊、患者管理、科研项目等。
河池市人民医院高级卒中中心每年开展神经介入诊疗800余例,包括脑血管造影术、颅内动脉取栓术、支架植入术、动脉瘤填塞术、颅内外大血管慢闭开通及动静脉畸形栓塞术等业务,在河池及周边地区的影响力显著提升。

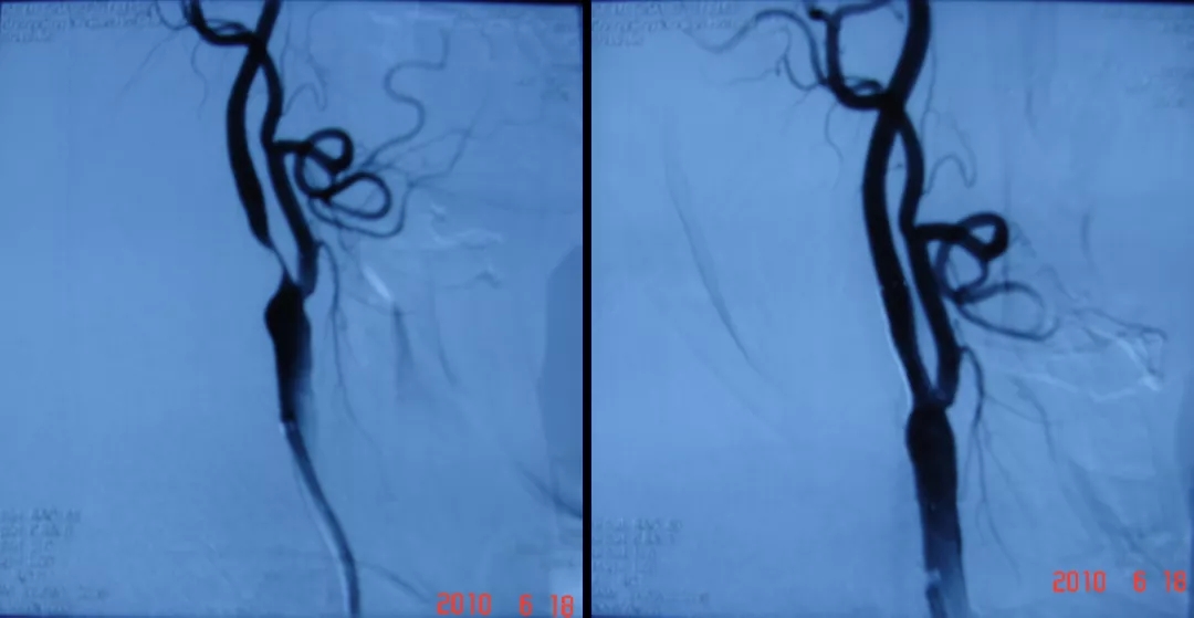
河池市人民医院开展的颈动脉支架植入术前后
神经介入手术中
此次入围首批“神经介入建设中心”名单,标志着河池市人民医院神经介入诊治条件与能力建设得到国家权威机构和专家的认定。下一步,医院将根据神经介入建设中心要求,在全国15家神经介入培训基地医院的带领下,切实加强神经介入团队建设,着力提高神经介入与脑卒中的规范诊治水平,规范患者管理,提高科研水平,更好地发挥医院在神经介入领域的引领示范作用。