来源:河池市人民医院 日期:2022-02-22浏览:次
近期,河池市人民医院肝胆外科团队顺利完成2例荧光腹腔镜精准肝切除术,为肝癌患者带来福音。
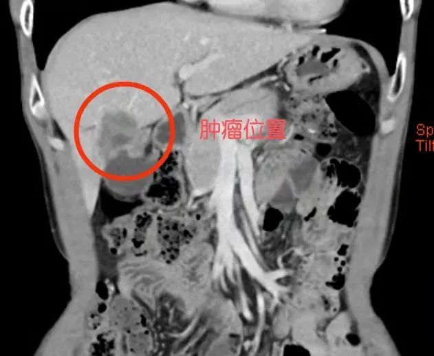
据悉,43岁的黄先生因在县级医院检查发现“肝占位十余天”,后因当地条件有限遂转至我院肝胆外科进一步治疗,经详细检查发现肝脏有一4cmX4cm×3cm大小的肿瘤,且肿瘤呈进行性增大,若不及时手术,会加大自发性或外伤性破裂出血的风险。


患者术前肝肿瘤CT情况
肝脏承担着人体重要的代谢功能,与人体的重要结构如下腔静脉、门静脉、胆道系统关系密切,肝脏手术出血风险极高,稍有不慎将危及患者生命。手术中要如何彻底地切除肿瘤,并保证肝切面不残留癌组织,这在肝癌切除术中有一定的难度。
经肝胆外科团队详细评估后,决定首次使用医院引进的荧光腹腔镜系统为患者行“肝肿瘤切除术”。术中使用吲哚菁绿成像技术可以清晰地显示出肿瘤的立体边界线,在可视条件下精准分离,以提高手术安全性,减少手术并发症。
患者术前静脉注射吲哚青绿后术中使用荧光腹腔镜显影出肿瘤的位置和边界
荧光腹腔镜显像导航技术,是向体内注入近红外荧光染料吲哚菁绿(ICG),与血浆白蛋白和球蛋白结合,肝脏正常组织能够排泄而肿瘤排泄障碍的原理,达到肿瘤特异性显像的目的。随后,由肝胆外科医师、麻醉师及护理人员组成的团队凭借熟练的配合和精湛的技术,顺利完成手术。46岁的谭先生也因相似的情况使用了该项技术进行手术,术后在肝胆外科医护人员的精心照顾下,恢复良好。

患者使用荧光功能前后肿瘤显影对比图
据肝胆外科李鸿飞主任介绍,这项技术能更加精准地进行肝切除,最大限度切除包含转移灶的肝脏,同时减少缺血坏死肝组织,避免肿瘤和缺血部分的残留。该项技术为术者定位切除边界提供了依据,同时减少肿瘤复发和术后并发症的发生。

肝胆外科团队
此次肝胆外科李鸿飞主任团队,率先在全市开展荧光腹腔镜肝切除术,标志着河池市人民医院肝切除技术水平再创新高。在不断积累实践经验的同时,将吲哚菁绿荧光成像技术拓展到胃、结直肠等多种手术领域,进一步提高疾病诊治水平,造福更多患者。